Precision Histology CRO

Routine and Special Stains Histopathology Services

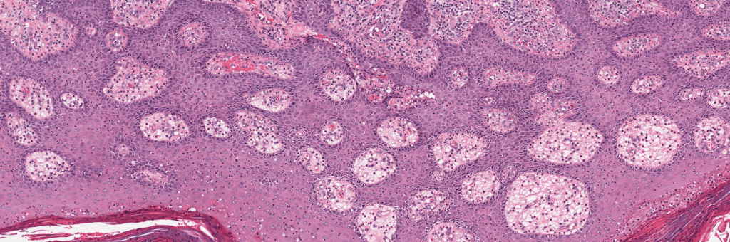
H&E
Picrosirius Red (PSR)
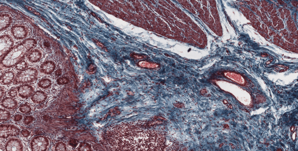
Masson’s Trichrome (MTC)
Alcian Blue
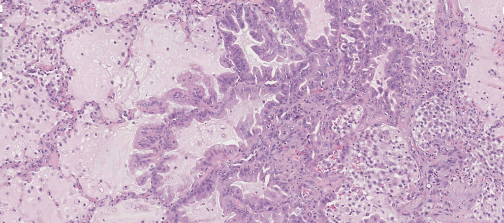
Periodic acid-Schiff (PAS)
Safranin O
Oil Red O
Prussian Blue
Luxol Fast Blue (LFB)
Verhoeff-Van Gieson (VVG)
Toluidine Blue
Von Kossa
PAS + Alcian BlueNISSLTUNELHerovici’s

Example Applications:

Hematoxylin and Eosin (H&E) for tissue morphology

Picrosirius Red (PSR) and Masson’s Trichrome (MTC) for collagen detection, organization and distribution

Periodic acid-Schiff (PAS) and Alcian Blue for glycoproteins and mucins

Safranin O and Oil Red O for cartilage and lipids

Prussian Blue and Luxol Fast Blue for iron and myelin

Verhoeff-Van Gieson (VVG) and Von Kossa for elastin and calcium deposits

Commitment to Collaborative Support

Our team of expert histotechnologists and scientists works as an extension of your research team. We prioritize collaboration from the outset, focusing on understanding the unique needs of your study. To support your R&D efforts, our team will concentrate on optimizing histochemistry, tissue sourcing, and other critical precision histology details to best highlight the specific tissue features or cell types of interest. Many of our clients consult with our scientists early in the planning phases, allowing us to help tailor study design choices that align precisely with the study’s objectives.

Throughout the process, we maintain diligent communication, providing regular updates and addressing any questions or adjustments along the way. With comprehensive reporting and transparent pricing, you’ll have complete visibility into each phase, allowing for informed decision-making and confidence in the data we deliver. This collaborative, detail-oriented approach produces reliable, high-quality data and actionable insights, keeping your research goals at the forefront every step of the way.

← Back

Thank you for your response. ✨