we offer tailored antibody optimization solutions to meet your specific needs, whether you’re working with commercial or custom/novel antibodies. Antibody optimization is a critical step in ensuring that your assays yield reliable, reproducible, and meaningful results. By optimizing antibodies, we enhance assay sensitivity and specificity, reducing variability and ensuring consistent performance across experiments.

Our team provides expert support throughout the process, from antibody selection and control determination to real-time result reviews and protocol adjustments. Whether you’re working with commercially available or novel antibodies, our approach is always collaborative. We review the literature to identify the most suitable antibodies for your needs and recommend appropriate controls for the optimization process. Regular updates and feedback sessions ensure that the process aligns with your research goals.
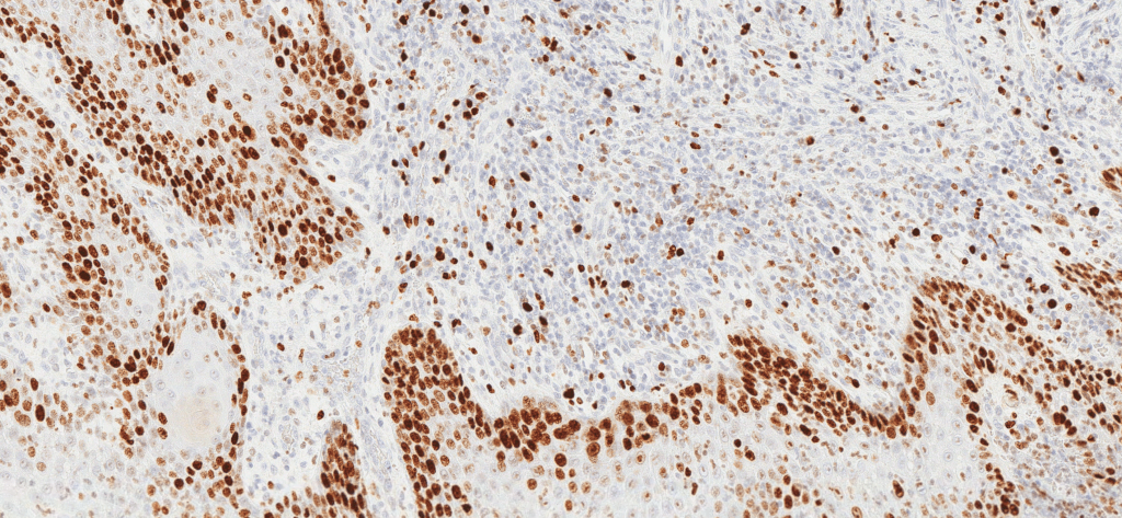
At Glint Lab, even the most challenging antibodies can be optimized
For commercial antibodies, we optimize them on known positive control tissues, cell pellets, and/or negative control tissues (if applicable), delivering a streamlined process to ensure accuracy.
When working with custom or novel antibodies, including whole antibodies, humanized antibodies, and fusion proteins (scFv), our team will design a fully customized optimization plan for your study. This includes selecting appropriate cells, tissue controls, secondary antibodies, and detection systems to meet your specific requirements. Our approach ensures that even the most challenging antibodies can be optimized to provide clear, actionable results.
We provide a detailed optimization report summarizing protocols, representative images, findings, and recommendations, ensuring transparency and full documentation of the process.

Maximizing Signal Quality in IHC/IF Using Antibody Optimization and Image Analysis
When optimizing antibodies for IHC or IF, our priority is to achieve a strong, specific signal over background noise. This ensures that we are detecting the true expression of the marker of interest, rather than non-specific binding or other artifacts. In complex cases, we often consult with an image analyst to review the optimization results. This additional step helps confirm that the signal-to-background ratio is optimal and that the data generated is both accurate and actionable.
Background noise is sometimes unavoidable, especially when working with tissue sections that contain non-target regions like muscle, fat, or connective tissue within or near tissue regions of interest. These areas may generate signals that differ in intensity or pattern from the true marker signal, making it harder to distinguish real expression. In these situations, image analysis plays a crucial role. By using advanced algorithms, the image analyst can help differentiate between the actual marker expression and background artifacts, and exclude or minimize the influence of these non-target regions in the final analysis.
This approach ensures that the data is both precise and reliable, enabling more informed decision-making, especially in cases where the tissue architecture or marker expression presents additional challenges. Consulting with an image analyst also helps streamline the optimization process, allowing us to quickly identify potential issues and adjust parameters to meet the specific needs of each project.

If you’re interested in learning more about how we handle antibody optimization or would like to see examples of how image analysis supports our process, please reach out!
Histopathology Preclinical CRO San Diego
